Publicación
Qué es un radiofármaco y por qué se usa en medicina nuclear

El radiofármaco es una de las herramientas más útiles y controladas de la medicina actual. Aquí te explico qué es, cómo se usa y por qué su papel es tan importante en los estudios nucleares.
Muchas veces, la palabra “radiofármaco” suena intimidante, pero en realidad es parte de una herramienta muy precisa que usamos todos los días para ver lo que otras técnicas no muestran. Me parece importante explicarlo con claridad, sin tecnicismos ni exageraciones, para que quienes van a recibir uno lo entiendan sin miedo y con confianza.

Dr. Francisco Romero
Médico Especialista en Medicina Nuclear
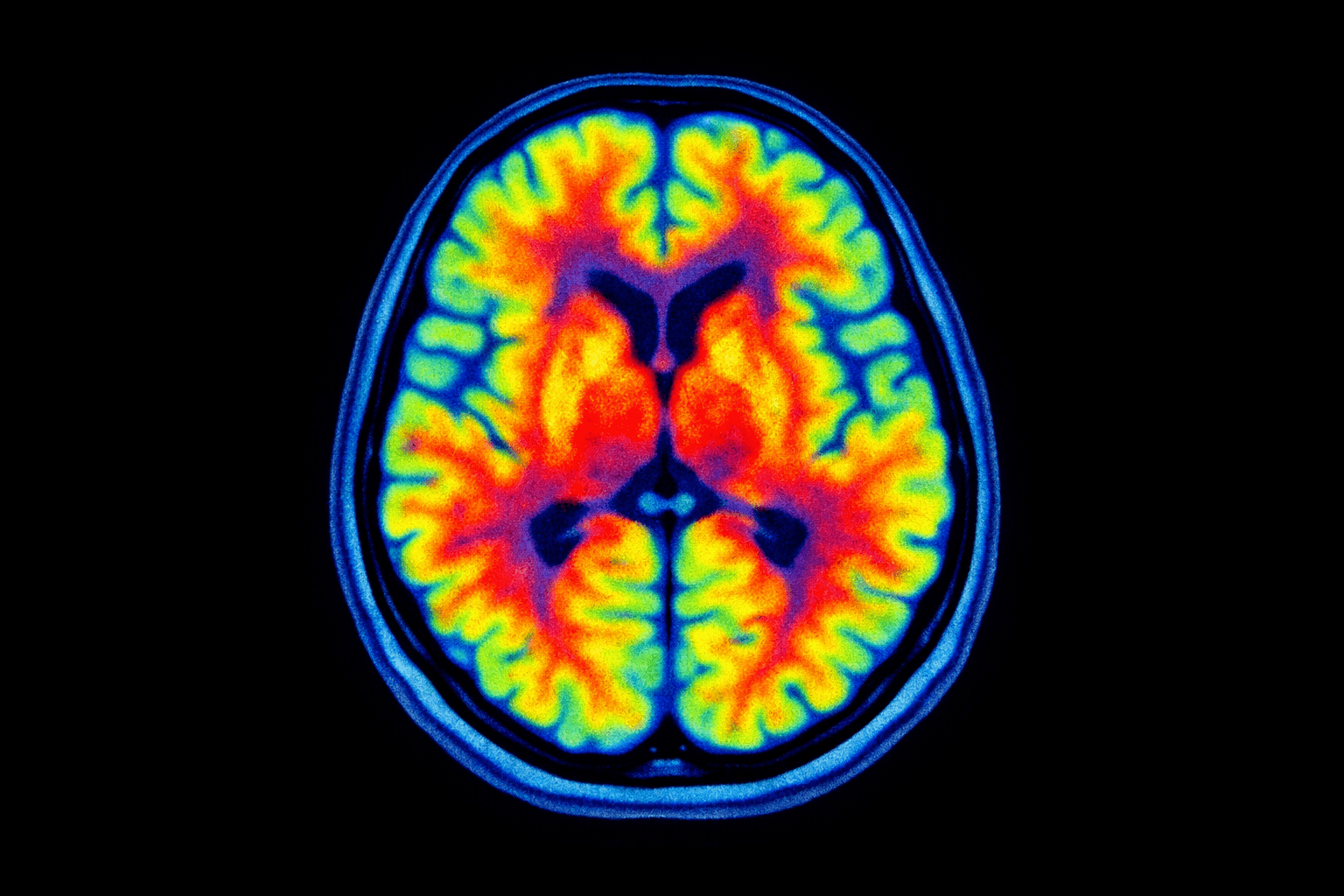
Qué es un radiofármaco
Cómo se aplican los radiofármacos
Diferencias entre radiofármacos diagnósticos y terapéuticosLos radiofármacos diagnósticos se usan en pequeñas cantidades y permiten tomar imágenes del interior del cuerpo sin alterar su funcionamiento.
Qué pasa con el cuerpo después de recibir un radiofármacoUna vez que cumple su función, el radiofármaco se elimina del cuerpo, generalmente por la orina o las heces.
Seguridad en el uso de radiofármacos
|

Respuestas claras sobre el uso de radiofármacos
¿Puedo estar cerca de otras personas después de recibir uno?
Sí, pero se recomienda que en las primeras horas posteriores a la inyección se mantenga el contacto con las personas a 1 metro de distancia. En la mayoría de los estudios diagnósticos no hay ninguna restricción. Solo en tratamientos específicos puede haber recomendaciones especiales por unas horas o días.
¿Qué pasa si estoy embarazada o lactando?
Se evalúa cada caso. En general, si estás embarazada es una contraindicación absoluta, durante el en periodo de lactancia solo se requiere suspenderla durante 12 horas posteriores a la inyección del radiotrazador.
¿Me puede dar alguna reacción alérgica?
Es muy raro. La gran mayoría de los radiofármacos no provocan reacciones alérgicas, pero si tienes antecedentes de alergia, siempre es importante comentarlo antes.
¿Cuánto tiempo tarda en eliminarse del cuerpo?
La mayoría se elimina en pocas horas. Algunos pueden tardar un poco más, pero siempre se te dará la información específica del que se usará en tu estudio.
Entender qué te aplican te da más confianza
Saber qué sustancia te están administrando y para qué sirve ayuda a que todo el proceso sea más transparente. Cuando entiendes bien cada parte del estudio, la experiencia es mucho más tranquila y predecible.
Si tienes un estudio pronto y quieres entender bien qué radiofármaco se usará y por qué, mándame un mensaje y lo revisamos juntos.